


Start with the person in the mirror.
Learn MorePreventative dental appointments are one of the most important appointments you can make. Plaque build-up, tooth aches, etc. can lead to loss of teeth or other serious health conditions down the road.
Read More

Substance abuse takes a toll on every inch of your body, and your mouth is no exception: Teeth can become riddled with...
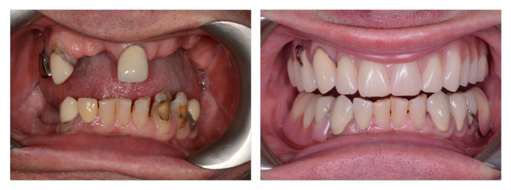
Unlike many of us, Brian Thompson doesn’t take his teeth for granted. After decades of dental neglect caused by drug addiction, he...
Smiling and laughing aren’t just reactions to something that makes you feel good: they’re a scientifically proven way to boost your mood...
Morbi pretium, arcu a venenatis ornare, nibh dui scelerisque arcu, id mattis metus augue vel velit. Vestibulum vel rutrum ligula. Praesent hendrerit felis ut quam lobortis, et pellentesque sem faucibus. Proin sit amet dolor id risus bibendum porta et id arcu. In venenatis mollis enim, vel sagittis massa lobortis sit amet. Quisque nec eleifend ex. Aliquam vitae libero non nisi commodo dignissim sollicitudin sed nisl. Lorem ipsum dolor sit amet, consectetur adipiscing elit.
Vestibulum auctor rhoncus accumsan. Nullam justo nisl, luctus at tellus ut, egestas sollicitudin mauris. Cras faucibus dolor arcu, non condimentum nibh blandit sit amet. Praesent odio est, malesuada vel augue vel, sollicitudin eleifend diam.
Morbi pretium, arcu a venenatis ornare, nibh dui scelerisque arcu, id mattis metus augue vel velit. Vestibulum vel rutrum ligula. Praesent hendrerit felis ut quam lobortis, et pellentesque sem faucibus. Proin sit amet dolor id risus bibendum porta et id arcu. In venenatis mollis enim, vel sagittis massa lobortis sit amet. Quisque nec eleifend ex. Aliquam vitae libero non nisi commodo dignissim sollicitudin sed nisl. Lorem ipsum dolor sit amet, consectetur adipiscing elit.
Vestibulum auctor rhoncus accumsan. Nullam justo nisl, luctus at tellus ut, egestas sollicitudin mauris. Cras faucibus dolor arcu, non condimentum nibh blandit sit amet. Praesent odio est, malesuada vel augue vel, sollicitudin eleifend diam.
Lorem ipsum dolor sit amet, consectetur adipiscing elit. Praesent ultrices posuere felis et consectetur. Quisque sagittis sit amet nunc nec hendrerit. Morbi eu mi ipsum. Donec quis mi quis diam fermentum eleifend. Ut non lorem massa. Nulla quam nisi, consectetur eu leo sit amet, rutrum scelerisque quam. Etiam rhoncus sollicitudin urna, quis posuere elit blandit a. Quisque purus arcu, faucibus vel quam in, ullamcorper vulputate risus.
[contact-form-7 id=”267″ title=”Contact form 1″]